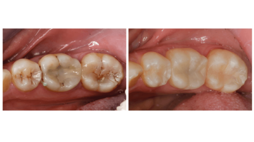
Tooth-colored fillings, also known as composite or white fillings, are a modern alternative to traditional amalgam fillings. Made from a mixture of resin and finely ground glass particles, these fillings match the natural color of teeth for a seamless appearance. The procedure involves removing decayed portions, preparing the tooth, and bonding the composite material to the tooth structure. Besides their aesthetic advantage, tooth-colored fillings offer versatility, durability, and a more conservative approach as they require less tooth removal than amalgam. They are resistant to temperature changes, reducing the risk of tooth fractures. Regular dental check-ups ensure the longevity and effectiveness of tooth-colored fillings.
Choose Dant Heal for Tooth Colored Filling with a top dentist near me
Choose Dant Heal for Tooth-Colored Fillings: Our dental clinic is the ideal choice for tooth-colored fillings, thanks to our expertise and commitment to providing natural-looking and durable restorations. Our dental professionals have extensive experience in placing tooth-colored fillings, ensuring precise and seamless results that blend seamlessly with your natural teeth. We prioritize the use of high-quality composite resin materials that match the color of your teeth, delivering an aesthetically pleasing appearance.
At Dant Heal, we take a minimally invasive approach, preserving as much of your natural tooth structure as possible while effectively treating cavities or tooth damage with tooth-colored fillings. We provide personalized treatment plans tailored to your specific needs, ensuring optimal results and your satisfaction throughout the process.
Comprehensive care is at the heart of our practice. From the initial evaluation to the placement of tooth-colored fillings, our dedicated team provides comprehensive care, ensuring your comfort and addressing any concerns along the way. Trust Dant Heal for tooth-colored fillings and benefit from our expertise, natural aesthetic, minimally invasive approach, personalized treatment plans, and comprehensive care. We are dedicated to delivering long-lasting, natural-looking tooth-colored fillings, helping you maintain a healthy and beautiful smile.
Procedure of Tooth Color Filling
- Evaluation and preparation of the affected tooth
- Removal of decayed or damaged tooth structure
- Application of tooth-colored composite resin material in layers
- Shaping and sculpting the resin material to match the natural tooth contours
- Curing the resin material with a special light to harden it
- Polishing the filling to achieve a smooth and natural-looking finish
- Bite adjustment and final checks for proper fit and comfort
- Regular follow-up appointments for monitoring and maintenance




